Pacjenci z ILD

ZESPOŁY WIELODYSCYPLINARNE MOGĄ ODGRYWAĆ CENTRALNĄ ROLĘ W ROZPOZNANIU ORAZ LECZENIU CTD‑ILD1

Proaktywna współpraca ze specjalistycznym zespołem wielodyscyplinarnym w celu określania rozpoznania u pacjentów z włókniejącą ILD może zmniejszyć ryzyko zgonu pacjenta3–10

Przykład zespołu wielodyscyplinarnego
Przykład zespołu wielodyscyplinarnego

Ścisła współpraca pomiędzy reumatologiem, pulmonologiem, radiologiem i patologiem jest ważna w kontekście rozpoznania ILD u pacjentów z CTD.11 Badanie HRCT w połączeniu z omówieniem na forum wielodyscyplinarnym może umożliwić pewne rozpoznanie ILD w przebiegu CTD.12–14 Rozpoznanie wielodyscyplinarne wiąże się z wyższym poziomem pewności diagnostycznej i lepszą zgodnością pomiędzy obserwatorami w porównaniu z sytuacją izolacji poszczególnych ról.14

W momencie rozpoznania ILD u pacjentów z CTD oraz w trakcie ich monitorowania należy prowadzić wielodyscyplinarną dyskusję dla ustalenia optymalnego podejścia w celu spowolnienia progresji choroby.1,15

W przypadkach, gdy zwołanie konsylium wielodyscyplinarnego dla pacjenta z ILD jest trudne, dyskusję wielodyscyplinarną można przeprowadzić wirtualnie lub telefonicznie, aby umożliwić udział przedstawiciela każdej specjalizacji.16

HRCT W POŁĄCZENIU Z OCENĄ WIELODYSCYPLINARNĄ DAJE WYSOKĄ PEWNOŚĆ ROZPOZNANIA ILD U PACJENTÓW Z RZS17-19

Podejście wielodyscyplinarne, obejmujące co najmniej reumatologa, pulmonologa i radiologa, poprawia diagnostykę i postępowanie w RZS-ILD.17,20 Zaleca się omówienie wielodyscyplinarne w celu potwierdzenia rozpoznania i oceny stopnia ciężkości RZS-ILD na podstawie rozległości ILD w badaniu HRCT oraz wartości DLCO.21

Proponowane ramy dla wielodyscyplinarnej oceny RZS‑ILD17

oceny RZS‑ILD
oceny RZS‑ILD

Na podstawie: Caserne G, at al.d Clin Med. 2020;9(4):1032.

Jak można rozpoznać RZS-ILD u pacjentów?

MATERIAŁY DLA ZESPOŁU WIELODYSCYPLINARNEGO

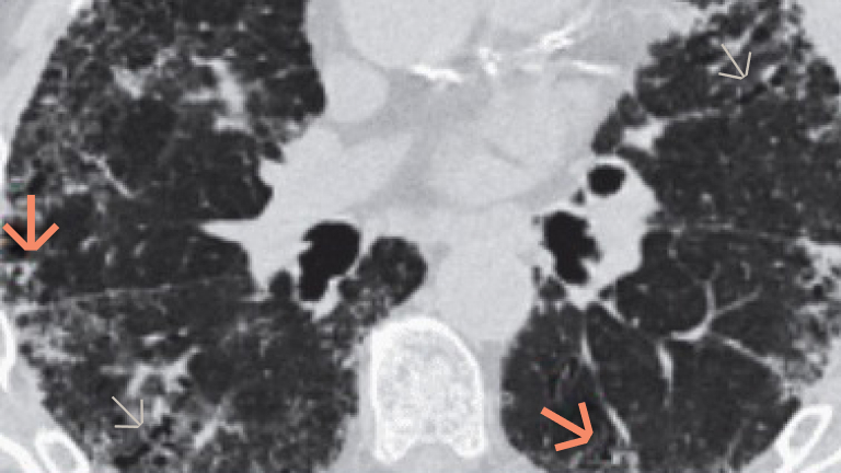
ATLAS OBRAZOWANIA ILD

Skuteczniej rozpoznawaj włókniejącą ILD. Ten atlas może pomóc w diagnostyce ILD, ułatwiając rozpoznawanie kluczowych wskazówek i typowych cech w obrazach HRCT klatki piersiowej i w badaniu histopatologicznym wycinków z chirurgicznej biopsji płuca.

Atlas obrazowania ILD

RADIOLOG ODGRYWA CENTRALNĄ ROLĘ W ROZPOZNANIU CTD‑ILD WE WSPÓŁPRACY Z REUMATOLOGIEM22

Wywiad kliniczny pacjentów z CTD może pomóc radiologowi w:16

  • Udziale w dyskusji zespołu wielodyscyplinarnego

  • Interpretacji cech radiologicznych w badaniu HRCT

  • Przekazaniu cennych informacji w kontekście rozpoznania różnicowego w przypadku podejrzenia ILD

Warto współpracować z radiologami w celu uzgodnienia stosowania standardowego wzorca opisów badań HRCT23-25

Dzięki radiologowi uzyskuje się dostęp do korzyści wynikających z ujednoliconego, ustrukturyzowanego raportu HRCT, co pomaga zmniejszyć ryzyko przeoczenia istotnych obserwacji23

Julia
Julia choruje na RZS‑ILD

Jakie objawy przedmiotowe i podmiotowe skłaniają do podejrzenia ILD?

Pobierz opis pacjentki z RZS-ILD Opens in new tab
Stefania
Stefania choruje na SSc‑ILD

Jak można ustalić rozpoznanie SSc-ILD?

Pobierz opis pacjentki z SSc-ILD Opens in new tab

JAK PRZEKAZYWAĆ WIADOMOŚĆ O ROZPOZNANIU ILD PACJENTOM Z CTD? 

Przekazywanie złych wiadomości to złożone zadanie komunikacyjne. W naszej serii filmów dokumentalnych profesor Walter Baile, psychiatra i współtwórca modelu SPIKES, przedstawia swoje praktyczne podejście do strukturyzacji trudnych rozmów.

Model SPIKES dotyczy przekazywania złych wiadomości w praktyce klinicznej z wykorzystaniem sześciu elementów: Przygotowanie; Postrzeganie; Zaproszenie/Informacja; Wiedza; Empatia; Podsumowanie/Strategia26

PROWADZENIE TRUDNYCH ROZMÓW Z PACJENTAMI

Część 1 – Wyzwanie związane z przekazywaniem złych wiadomości

Profesor Walter Baile przedstawia wyzwania związane z przekazywaniem złych wiadomości oraz czego możemy się nauczyć z doświadczeń w dziedzinie onkologii.

Część 2 – Model SPIKES we włóknieniu płuc

Przekazanie informacji o rozpoznaniu ze współczuciem może wiele zmienić. Zobacz, dlaczego profesor Walter Baile uważa, że model SPIKES ma znaczenie we włóknieniu płuc.

3:49

Johanna: Breaking bad news about a terminal illness to a patient who’s not expecting it can be emotionally challenging for everyone involved. I know this because it happened to my grandmother who suffered from pulmonary fibrosis. So, I’m in Houston now to speak to Professor Walter Baile, who’s going to tell us more about communication and how to better the conversation.   
BIG CONVERSATIONS An introduction to Professor Walter Baile and The SPIKES Model 
Johanna: So, Professor Baile, can you please introduce yourself? 
Professor Baile: So, I’m Walter Baile and I’m a psychiatrist. And I did my psychiatry training at the Johns Hopkins Hospital in Baltimore, Maryland. And for the past 30 years, I’ve worked at M.D. Anderson Cancer Centre and organized a communication skills program called iCare, which is the program for interpersonal communication and relationship enhancement.   
Johanna: When you first started working in this field, how were bad news being communicated in oncology? 
Professor Baile: So, the fact is, is that bad news was rarely given to cancer patients and the diagnosis was often disguised behind words such as inflammation or mass. And clinicians at that time had very few treatments for cancer and patients feared it very much because often patients died in pain. And there was very little support for them. So, not giving a diagnosis of cancer or not telling the truth to patients was considered to be something ethical that doctors would do because they would spare the patient the suffering of knowing. So, almost uniformly, patients weren’t told. 
Johanna: But things have changed, and new treatments have become available. So, what are some of the new challenges that physicians are facing nowadays? 
Professor Baile: So as a colleague of mine once said, you know, the question is not whether to give bad news, but how to give it. And it’s still it’s a very big challenge for doctors, because many of them now really don’t have sufficient training to give bad news and because of that, they find it very challenging and stressful to deal with the emotions that often arise when patients are given adverse information about their medical condition, even though patients today want to be informed.  
Johanna: And you came out with a method for it. Can you briefly describe it? 
Professor Baile: We came up with a method which we call SPIKES, which is an organized stepwise program or a method for teaching communication skills and specifically giving bad news, which consists of six separate steps, which I can talk about in a little while. 
Professor Baile: It makes a lot of sense to doctors because they often learn to provide treatment and to diagnose disease based upon protocols and to follow guidelines for giving bad news. So that I think it’s become widely accepted because it has an inherent intuitive sense to doctors in other conditions who are giving bad news.
Johanna: So, Professor Baile, what does SPIKES stand for? 
Professor Baile: So the S of SPIKES is for setting or setting up the interview, how you organise yourself before you go into the conversation. P is for perception. Finding out how much the patient already knows about the disease or the tests or any other information you want to know ‘I’ is for invitation and that is making sure the patient’s ready for the informationK is for knowledge and that is how to give the information in a way that the patient understands and allow them to share decisions. E is for emotions how to be empathic when the patient gets upset and ’S’ is for strategy and summary. How you sum up the conversation and help the patient understand what the treatment program is.
Johanna: What is the objective of SPIKES with not just clinicians but also with patients? 
Professor Baile: Patients who receive bad news want to hear it in a compassionate way. So, what SPIKES does is addresses the most common emotional reactions with patients and whether it’s sadness or whether it’s fear or anxiety or crying spells and helps the clinician address that. It also prompts the doctor to prepare for giving bad news by kind of rehearsing in their own mind what they’re going to say and what they’re going to tell the patient.

2:04

Johanna: So, you’ve seen the SPIKES model work in oncology. Let’s move the conversation now to something like pulmonary fibrosis. How would you find the SPIKES model being helpful, delivering bad news in pulmonary fibrosis?
Professor Baile: Yes. Well, certainly pulmonary fibrosis is a life-threatening disease. And because of that, conversations around prognosis are very difficult. In fact, a recent study showed that the majority of clinicians were not comfortable discussing prognosis with patients. 
Johanna: So I have personal experience with pulmonary fibrosis because my grandmother actually passed away from pulmonary fibrosis. And after speaking to my mom about the way that her diagnosis was delivered to her, she seemed to think that the way that it was delivered was really what impacted her the most. It perhaps was not done in a very empathetic way. And I think it’s fair to say that most patients want to feel like the doctor cares. 
Professor Baile: Yeah, there’s a wonderful paper written by a while back called ‘Words that harm, words that heal’. And you can imagine that someone who is being told bad news bluntly or not, given all the complete information, could really be put off by that. On the other hand, patients who are told bad news in a compassionate and supportive way will really come to feel that their doctor is on board with them. And is there for them and supports them through the disease. And that’s what patients really need. They need to know that their clinician will fight for them and be there for them when they need them.

Część 3 – Model SPIKES w scenariuszu rzeczywistej praktyki

Słowa mają znaczenie. Profesor Walter Baile opowiada o prawdziwym doświadczeniu, w którym współczująca i szczera rozmowa zmieniła sytuację.

2:22

Johanna: So how has the SPIKES model helped revolutionize difficult conversations in serious illnesses? 
Professor Baile: Well, I think it’s made physicians more willing and comfortable in giving bad news because they now have a tool to do it and they now have an approach which will allow them to deal with emotions at a time when patients are really demanding more and more to be told about serious illness and their diagnosis and prognosis. 
Johanna: So walk me through how you teach your doctor to learn SPIKES. 
Professor Baile: Well, one thing is clear that you can’t learn just by reading about it, that when we do workshops, teaching SPIKES, we use standardized patients in role plays so that we can stop and go according to what the student gets stuck in, in trying to go through the steps of SPIKES. So, the student might be given a script and the script would be here’s a patient you’re going to see, and you have to give bad news. 
Johanna: Professor Baile, can you give us a real-life scenario where SPIKES has been in action and you’ve seen it work? 
Professor Baile: One comes to mind that, you know, I make rounds occasionally with the oncology team. And so we were at the bedside of a gentleman who had pancreatic cancer and the doctors would talk to him, give him some test results. And it became obvious to me that this gentleman didn’t quite understand the serious nature of this disease, which is a problem, because if you think you’re going to be cured and you have a very poor prognosis, there could be this a lot of anger that could happen when no-one’s told you. So, I prompted the physician who was treating the patient to ask the patient what he understood about his disease, and it was obvious that he thought he was in the hospital for a cure. And it was painful to tell him that that wasn’t the case. But eventually, in the end, the patient was very sad and tearful. But eventually he was grateful for having the information because it allowed him to plan for the future, which I think is what patients and we all want to be able to do that. 
Johanna: We want to be a little bit in control of what’s ahead of us. 
Professor Baile: Well, you know, medicine is a partnership between doctor and patient. And so when you provide compassion and honesty and hope, realistic hope to patients and the reassurance you’re going to be with them throughout their illness, patients are very grateful for that as they are for any cure that we can provide them. 
Johanna: Well, this teaches us too that empathetic conversations can be learned. 
Professor Baile: Empathetic conversations can be learned, and words do matter. 
Johanna: So, Professor Baile, thank you so much for helping us understand how to better empower the conversation between a doctor and its patient. And for showing us that it can be done compassionately. In another film, Professor Baile will take us through each of the six steps of the SPIKES model. So don’t go anywhere.

MODEL SPIKES

Część 1 – Model SPIKES

Omówienie poszczególnych etapów w modelu komunikacji SPIKES.

Część 2 – SPIKES: Przygotowanie

Odpowiednie przygotowanie rozmowy może pomóc zarówno lekarzowi, jak i pacjentowi poczuć się swobodnie.

1:11

Johanna: So, Professor Baile, what does SPIKES stand for? 
Professor Baile: S of SPIKES is for setting or setting up the interview, how you organise yourself before you go into the conversation. P is for perception. Finding out how much the patient already knows about the disease or the tests or any other information you want to know. ‘I’ is for invitation and that is making sure the patient’s ready for the information. K is for knowledge and that is how to give the information in a way that the patient understands and allow them to share decisions. E is for emotions how to be empathic when the patient gets upset and ’S’ is for strategy and summary. How you sum up the conversation and help the patient understand what the treatment program is.   
[Titles] UP NEXT
The first step of the SPIKES model—setting up the conversation

2:29

Johanna: Let’s dive right into setting. How do you go about setting up the conversation?   
Professor Baile: The first letter, of course, is S of SPIKES, ……. And the two tasks for the clinician in doing the first step of SPIKES is, one, to kind of reflect on the task at hand and ask oneself, are we ready to go ahead and give the bad news? What information do I need to have it the patient might ask for? OK. Am I psychologically prepared for the emotions that might occur when the patient is disclosed the bad news and if they get upset? And then do I have the setting right? Are the people in the room the right ones that need to be that the patient wants in the room? Is it a quiet place? Have I turned my pager and cell phone off and created an atmosphere where it's conducive to have a serious conversation? 
Johanna: Would it be fair to say that setting is important too also because it sets the whole tone for the conversation. It's supposed to show the patient that the doctor is committed, to this conversation?
Professor Baile: Yeah, I think I think that's really important because, you know, if the patient walks in and sits down and you got your back to them because you haven't finished up with something on your computer and you keep going, that patient gets the message that they're not important. 
Johanna: So give me an example of what you would do to create the right setting for a patient that you are about to discuss very difficult news with. 
Professor Baile: So, you know, it may be very difficult to create a noiseless setting on the inpatient service when a patient is hospitalised. But otherwise, if you're in an exam room, you have total control over things such as your pager and your beeper and whether you're interrupted or not. So that would be very important. I would also think that I would want to have the test results I’m going to explain to the patient at hand in case they ask specifics about it.     
[Titles] UP NEXT…
The second step of the SPIKES model—perception

Część 3 – SPIKES: Percepcja

Ustalenie, co pacjent rozumie na temat danej sytuacji, aby odpowiednio dostosować rozmowę.

Część 4 – SPIKES: Zaproszenie

Określenie, w jaki sposób pacjent chciałby otrzymać informację.

3:10

Johanna: Now, let's move on to P, which is our perception. 
Professor Baile: ‘P' stands for perception. And what it means is finding out what the patient understands about their disease or about the treatments or about the tests that you did. And the reason for that is that if the patient misunderstood the purpose of the tests or misunderstood what other people have told them about their disease, then you need to correct that. So in a way, it gives you an idea of where you need to start the conversation about the bad news, whether it's way back from the beginning when the patient was first diagnosed or whether or not the patient's really up to snuff and understands everything that happened in the interval. So that's perception. And so, in order to find out what the patient understands, you can just ask an open-ended question, like: “tell me what you understand about what other people have told you about your disease.” “Tell you what you understand about where we're at with your treatment.” “Tell me what you understand about the purpose of why we did the tests last week.” And so that’ll cue you as to where to start giving the bad news. 
Professor Baile: I make rounds occasionally with the oncology team. And so we were at the bedside of a gentleman who had pancreatic cancer and the doctors would talk to him, give him some test results. And it became obvious to me that this gentleman didn’t quite understand the serious nature of this disease, which is a problem, because if you think you’re going to be cured and you have a very poor prognosis, there could be this a lot of anger that could happen when no-one’s told you. So, I prompted the physician who was treating the patient to ask the patient what he understood about his disease, and it was obvious that he thought he was in the hospital for a cure. And it was painful to tell him that that wasn’t the case. But eventually, in the end, the patient was very sad and tearful. But eventually he was grateful for having the information because it allowed him to plan for the future, which I think is what patients and we all want to be able to do that. 
Johanna: We want to be a little bit in control of what’s ahead of us.   
Professor Baile: Well, you know, medicine is a partnership between doctor and patient. And so when you provide compassion and honesty and hope, realistic hope to patients and the reassurance you’re going to be with them throughout their illness, patients are very grateful for that as they are for any cure that we can provide them.  
[Titles] UP NEXT…
The third step of the SPIKES model—invitation

1:48

Professor Baile: I is for invitation and what it means is checking in with the patient, whether it's OK to proceed giving the bad news and such a phrase you can use is that “I'd like to spend the next 15 minutes talking about your test results. Would that be OK?” You know, and the patient may be OK with them, but they also might want to have other people present or they might want to postpone the conversation. So, they've had some time to collect themselves. And it's really what we call patient centred because it gives the patient permission not to hear the bad news at that particular point or to hear the bad news in great detail or as little details that they want. 
Professor Baile: If a patient wants a lot of information. Well, you'd have to go into detail. But some patients, especially with more advanced disease, really want to know the bottom line. “What are we going to do about this?” 
Johanna: And how would you go about treating a patient like that that just wants to know the bottom line here.  
Professor Baile: I think you would have to say that “OK, let's talk about treatment. But anytime that you want to have more information about the lab results or other things that we've done to confirm your diagnosis or to give us more information, I'd be happy to tell you.” So, leaving it open for the patient to come back and ask more questions when they feel comfortable is an important strategy.    
[Titles] UP NEXT…
The fourth step of the SPIKES model—knowledge

Część 5 – SPIKES: Wiedza

Jak przekazywać pacjentowi fakty i informacje w sposób, który będzie dla niego korzystny.

Część 6 – SPIKES: Emocje

Dowiedz się, jak reagować z empatią na emocje pacjenta.

2:39

Johanna: Knowledge is the fourth step in the SPIKES model. How would you go about giving information and important facts to patients? 
Professor Baile: This is very important because knowledge really empowers the patient to ask questions. So, information that we give to the patient about their disease or the test results needs to be given thoughtfully without using jargon at a pace that the patient will be able to comprehend and stopping periodically to check with the patient. “Are you with me? Do you understand what I'm talking about?” 
Professor Baile: I think it's important to recognise that patients have different education levels, as do their loved ones. And so, you have to become aware of how you are communicating and really to speak to the patient's educational level. For example, some patients may not understand what the word biopsy means or even fibrosis. So, gauging the information level of the patient educational level and providing it at that level is very important. Second, don't be rushed. Take your time. Patients need to understand and speak slowly. Lastly, don't rush through giving information or be vague or be too blunt because those things will affect the patient's comprehension of information. So those are some guidelines about having how to give information in a way that promotes the goal of patient understanding. 
Professor Baile: And you have to respect the fact that the patient may understand only 30 percent of what you told them. And so, a second visit where you could invite them to come back and ask questions or clarify things they didn't understand. And I know that that takes up time. But on the other hand, if the patient misunderstands what treatment plan you have or misunderstands the information, that's going to take up your time also. 
Professor Baile: Patients may also benefit from in fact, I think they almost always benefit from having a loved one in the room who can take notes or explain what they heard afterwards to the patient that sending the patient a summary letter is very important.   
[Titles] UP NEXT…
The fifth step of the SPIKES model—Emotions

2:32

Johanna: And that leads us to what I think is one of the most important steps, which is E for emotions. Yeah. And that must be hard, not just for the patient, but also for the clinician who's delivering the news or having the tough conversation.
Professor Baile: E is the most challenging for emotions because very often when patients receive bad news, they get upset. They may cry. They may get sad; they may be just silent. They may be angry, and so being empathic when the patient gets emotional is really important. And there are a few steps involved with this one. Give the patient a little bit of space and time to emote. Don't go right into explaining what you're going to do until the patient has had time to kind of compose themselves or pull together. Second, make an empathic response. So, an empathic response really is nothing more than being tuned into the patient and letting them know that you are tuned in by using phrases such as “I can see you aren’t expecting this.” “This has really stunned you” or “I can see that this is something that you really got upset about.” And so that gives the patient, the sense that you are with them, you're tuned in with them, and it's experienced as compassion on the part of the clinician. 
Johanna: Is there any particular way or if there's one thing that you could tell a clinician to do when you reach the emotions step that they must do? 
Professor Baile: After you've given the bad news. I say, you know, you might start feeling badly and be tempted to give. To try to reassure the patient or to make the bad news. “Oh, it's not bad. I've seen other people really get better. Don't do that because first of all, you don't know whether or not the patients are going to do well or not to well. And secondly, if you need to give the patient a little bit of time to emote, patient usually recover pretty quickly and you'll know when it's time to give information, when the patient says, what do we do now?    
[Titles] UP NEXT…
The final step of the SPIKES model—Strategy and Summary

Część 7 – SPIKES: Strategia i podsumowanie

W jaki sposób opracowanie planu na przyszłość może pomóc pacjentom poczuć się poinformowanymi i przygotowanymi.

Część 8 – Czego pacjenci oczekują od swoich lekarzy?

Profesor Baile mówi, jak osiągnąć otwarte i szczere partnerstwo terapeutyczne z pacjentami.

2:59

Johanna: So this brings us to our last letter, which is S for summary or strategy. Like you said earlier, and this is how we wrap up the conversation and it's particularly important because this is what the patient goes home with. Yes. Walk us through what is summary, what is strategy, what you want to be prepared for. 
Professor Baile: ’S’ is for strategy and summary. And you know, everyone who gets bad news eventually wants to know what you're going to do about it. OK, so it's really important to have a game plan when you go into the last step of SPIKES. And I remember a patient telling me so patient with breast cancer. And she told me that her clinician wrote down the steps of her treatment. Like first she was going to get chemo and then radiation therapy and then more chemo on the paper that covered the exam room, you know, the kind that they roll off. And he wrote down week one, week two, week three, four, and she took it home and she put it on her kitchen wall so that she had a reference point.  You know, everyone wants to know what's down the road because it helps them cope. And so, this really helped her know what was coming next when she would finish. And it was very reassuring for her. So that's a strategy, in summary. The last little piece, however, it is very important because before the patient leaves the room, it's really helpful to ask them the question: “now, what are you going to tell your loved ones when you get home?” And that will give you an idea of whether or not the patient understood or not, because very often information is overwhelming sometimes that we stress the importance of having another person in the room who can take notes. And it's been shown that allowing the patient to audiotape or sending the patient a summary letter is a very, very powerful tool in helping the patient really retain the information that you gave them. 
Johanna: What's the most important thing about making a plan for the future in terms of from the patient and from the doctor's perspective? 
Professor Baile: Well, one of the strategies, especially when a treatment plan is sort of not conclusively going to be helpful is to hope for the best but prepare for the worst. And it gives the patient the ability to sort of be able to look down the road and to have hope that this particular treatment is going to be effective, but also prepare for what would happen if it's not.   
[Titles] UP NEXT…
What patients’ value from their doctors

2:52

Johanna: What do patients most value in their clinicians when they're receiving bad news and when they're not? 
Professor Baile: There are behaviours that the clinician can do to build a relationship that's trusting with the patient. And that's very important because that's what patients want….
Professor Baile: The other thing they value is compassion and understanding so that if they have a situation in which they're upset about something that the condition acknowledges, they're upset. This without I mean, necessarily having to make it make it better and provides the necessary information that will help the patient cope with the illness, whether it be knowledge about what the future looks like. Information about how to tell a loved one about the diagnosis. Those things are extremely important in building the relationship.   I think there are a few other things that that come to mind that are just equally essential. Listening is such a core skill that and listening in a way that shows that you're interested. For example, that asking a patient about what they're two most important concerns are at about their illness or about their situation really gives the clinician opportunity to hear from the patient things that he might be able to be helpful with. So, my concern is that “I'm OK in the evening, but I get sick every morning.” So how can the clinician address that? “One of my concerns is how to tell my son about my disease” so that these are things that really stick in patients’ minds. But very often they're afraid to bring up unless the doctor asks. But they show the patient that the clinician is concerned about them. And I think to respond to patients’ emotions with empathy is another very important behaviour that builds trust, builds rapport, and leaves the patient feeling secure about their relationship with the physician. 
Johanna: What is the role of loved ones when patients are receiving bad news?  
Professor Baile: So I think they're incredibly important. And there are a couple of issues here. One, I think that loved ones often feel helpless in knowing what to do to help the patient. And so any suggestions that the doctor or clinician can make to give the loved ones some support, tell them how important they are in the patient's well-being, and maybe give them some advice about how does the patient need to have, you know, a walk twice a day? Or what can a loved one do from a practical standpoint for the patient is extremely important. So, empowering them as helpers will enable them to feel a little bit less helpless. 
Johanna: To get involved. 
Professor Baile: To get involved. Yeah. And also, perhaps at times to help the patient report symptoms they might be having to the doctor. So, their role is really, really important. So, any way of empowering them in the care of the patient is important. 
Johanna: So let's do your top five. What are the top five things that patient’s value in doctors? 
Professor Baile: Well trying to be a little bit warm and warm, OK? And shaking hands. Things. Things of that sort. Asking the patient what they're most worried about. Making sure you understand what their knowledge needs are, addressing their emotions and in a compassionate way and having a plan for them that give them a little roadmap for the future, about how the treatment will evolve, how the disease may evolve, and finding out what they're most worried about. 
Johanna: Professor Baile, thank you so much for taking us through each and one of the six steps of the SPIKES model. It sounds like to me that it's really about informing, supporting and empowering not just the doctor, but also the patient. And that's just really nice. Indeed. Thank you. Thank you.

Jakie inne zasoby mogą być pomocne w diagnozowaniu i leczeniu ILD u pacjentów z CTD?

Przypisy

  • ACPA: przeciwciała przeciwko cytrulinowanym białkom; ANA: przeciwciała przeciwjądrowe; CPK: fosfokinaza kreatynowa; CTD: choroba tkanki łącznej; CTD-ILD: śródmiąższowa choroba płuc związana z chorobą tkanki łącznej; DLCO: pojemność dyfuzyjna płuc dla tlenku węgla; dsDNA: dwuniciowy kwas deoksyrybonukleinowy; eMTD: rozszerzony zespół wielodyscyplinarny; HRCT: tomografia komputerowa wysokiej rozdzielczości; ILD: śródmiąższowa choroba płuc; LIP: limfoidalne śródmiąższowe zapalenie płuc; MDA5: białko związane z różnicowaniem czerniaka 5; MDT: zespół wielodyscyplinarny; NSIP: nieswoiste śródmiąższowe zapalenie płuc; OP: organizujące się zapalenie płuc; PM-Scl: białko o masie 70 kDa związane z zapaleniem wielomięśniowym i twardziną; RZS: reumatoidalne zapalenie stawów; RZS-ILD: śródmiąższowa choroba płuc związana z reumatoidalnym zapaleniem stawów; RF: czynnik reumatoidalny; Scl-70: białko o masie 70 kDa związane z twardziną; SPIKES: Przygotowanie – Percepcja – Zaproszenie/Informacje – Wiedza – Empatia – Podsumowanie/Strategia; SS-A: antygen zespołu Sjögrena typu A; SS-B: antygen zespołu Sjögrena typu B; SSc-ILD: śródmiąższowa choroba płuc związana z twardziną układową; tRNA: transportujący kwas rybonukleinowy; UIP: zwykłe śródmiąższowe zapalenie płuc.

  1. Wijsenbeek M, Cottin V. Spectrum of Fibrotic Lung Diseases. N Engl J Med. 2020;383:958–968.

  2. Kreuter M, Bendstrup E, Russell A, et al. Palliative care in interstitial lung disease: living well. Lancet Respir Med. 2017;5(12):968-980.

  3. Raghu G, Collard HR, Egan JJ, et al; on behalf of the ATS/ERS/JRS/ALAT Committee on Idiopathic Pulmonary Fibrosis. An official ATS/ERS/JRS/ALAT statement: idiopathic pulmonary fibrosis: evidence-based guidelines for diagnosis and management. Am J Respir Crit Care Med. 2011;183(6):788–824.

  4. Martinez FJ, Collard HR, Pardo A, et al. Idiopathic pulmonary fibrosis. Nat Rev. 2017;17:17074.

  5. Raghu G, Remy-Jardin M, Myers JL, et al; on behalf of the ATS/ERS/JRS/ALAT. Diagnosis of Idiopathic Pulmonary Fibrosis. An Official ATS/ERS/JRS/ALAT Clinical Practice Guideline. Am J Respir Crit Care Med. 2018;198(5):e44–e68.

  6. Molina-Molina M, Aburto M, Acosta O, et al. Importance of early diagnosis and treatment in idiopathic pulmonary fibrosis. Exp Rev Resp Med. 2018;12(7):537–539.

  7. Jo HE, Glaspole IN, Levin KC, et al. Clinical impact of the interstitial lung disease multidisciplinary service. Respirology. 2016;21(8):1438–1444.

  8. Cottin V, Hirani N, Hotchkin D, et al. Presentation, diagnosis and clinical course of the spectrum of progressive-fibrosing interstitial lung diseases. Eur Respir Rev. 2018;27(150):180076.

  9. Wong AW, Ryerson C, Guler S. Progression of fibrosing interstitial lung disease. Respir Res. 2020:29;21(1):32.

  10. De Sadeleer LJ, Meert C, Yserbyt J, et al. Diagnostic ability of a dynamic multidisciplinary discussion in interstitial lung diseases: A retrospective observational study of 938 cases. Chest. 2018;153(6):1416–1423.

  11. Dellaripa PF. Interstitial lung disease in the connective tissue diseases; a paradigm shift in diagnosis and treatment. Clin Immunol. 2018;186:71–73.

  12. Geerts S, Wuyts W, De Langhe E, et al. Connective tissue disease associated interstitial pneumonia: a challenge for both rheumatologists and pulmonologists. Sarcoidosis Vasc Diffuse Lung Dis. 2017;34(4):326–335.

  13. Wallace B, Vummidi D, Khanna D. Management of connective tissue diseases associated interstitial lung disease: a review of the published literature. Curr Opin Rheumatol. 2016;28(3):236–245.

  14. Walsh SLF. Multidisciplinary evaluation of interstitial lung diseases: current insights. Eur Respir Rev. 2017;26:170002.

  15. George PM, Spagnolo P, Kreuter M, et al. Progressive fibrosing interstitial lung disease: clinical uncertainties, consensus recommendations, and research priorities. Lancet Respir Med. 2020;8:925–954.

  16. Chung J, Goldin J. Interpretation of HRCT scans in the diagnosis of IPF: improving communication between pulmonologists and radiologists. Lung. 2018;196(5):561–567.

  17. Cassone G, Manfredi A, Vacchi C, et al. Treatment of rheumatoid arthritis-associated interstitial lung disease: lights and shadows. J Clin Med. 2020;9(4):1082. doi: 10.3390/jcm9041082.

  18. Iqbal K and Kelly C. Treatment of rheumatoid arthritis-associated interstitial lung disease: a perspective review. Ther Adv Musculoskelet Dis. 2015;7(6):247–267.

  19. Kawano-Dourado L, Doyle TJ, Bonfiglioli K, et al. Baseline characteristics and progression of a spectrum of interstitial lung abnormalities and disease in rheumatoid arthritis. Chest. 2020:S0012-3692(20)31412-4. doi: 10.1016/j.chest.2020.04.061.

  20. Castelino FV, Goldberg H, Dellaripa PF. The impact of rheumatological evaluation in the management of patients with interstitial lung disease. Rheumatology (Oxford). 2011;50:489–493.

  21. Lake F and Proudman S. Rheumatoid arthritis and lung disease: from mechanisms to a practical approach. Semin Respir Crit Care Med. 2014;35(2):222–238.

  22. De Lorenzis E, Bosello SL, Varone F, et al. Multidisciplinary Evaluation of Interstitial Lung Diseases: New Opportunities Linked to Rheumatologist Involvement. Diagnostics (Basel). 2020;10:664.

  23. Sverzellati N, Odone A, Silva M, et al. Structured reporting for fibrosing lung disease: a model shared by radiologist and pulmonologist. Radiol Med. 2018;123(4):245–253.

  24. Irion KL, Souza Jr AS, Marchiori E, da Silveira Dalla-Bona JP, Hochhegger B. Assessment of pulmonologists’ receptivity to a structured radiology report for interstitial lung disease. J Bras Pneumol. 2020;46(5):e20200164.

  25. Berkowitz EA, Bernheim A, Little BP. Introducing ILD-RADS: a pilot study of an interstitial lung disease standardized reporting template. J Am Coll Radiol. 2019;16(9 Pt A):1169–1172.

  26. Kaplan M. SPIKES: a framework for breaking bad news to patients with cancer. Clin J Oncol Nurs. 2010;14:514–516.

Materiały dla pacjentów po angielsku