Bierz pod uwagę rozpoznanie włóknienia płuc
– zagrożenia wspólnego dla wielu chorób śródmiąższowych płuc (ILD), w tym choroby śródmiąższowej płuc w przebiegu choroby tkanki łącznej (CTD‑ILD). Włóknienie płuc może stać się kluczowym czynnikiem powodującym nieodwracalne szkody i wczesną śmiertelność – dlatego wymaga pilnego rozpoznania i interwencji.1–4
ODKRYJ RZECZYWISTE SKUTKI WŁÓKNIENIA W ILD
Rozpoznanie ILD
Wczesne i regularne monitorowanie
Włókniejąca ILD – poważne zagrożenie
Wstępna ocena ILD
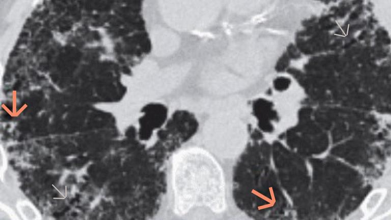
Obrazowanie włóknienia płuc metodą HRCT
Interwencje w ILD
Model SPIKES: przekazywanie pacjentom niepomyślnych wiadomości
Nagłe zaostrzenie ILD
-
Flaherty KR, Brown KK, Wells AU i wsp. Design of the PF-ILD trial: A double-blind, randomised, placebo-controlled phase III trial of nintedanib in patients with progressive fibrosing interstitial lung disease. BMJ Open Resp Res. 2017;4(1):e000212.
-
Patterson KC, Strek ME. Pulmonary fibrosis in sarcoidosis. Clinical features and outcomes. Ann Am Thorac Soc. 2013;10(4):362–370.
-
Caban JJ, Yao J, Bagci U, Mollura DJ. Monitoring pulmonary fibrosis by fusing clinical, physiological, and computed tomography features. Conf Proc IEEE Eng Med Biol Soc. 2011;6216–6219.
-
Wells AU, Brown KK, Flaherty KR, Kolb M, Thannickal VJ, w imieniu Grupy Roboczej ds. Konsensusu w kwestii IPF. Eur Resp J. 2018;51:1800692.
-
Theodore AC, Tseng C-H, Li N, Elashoff RM, Tashkin DP. Correlation of cough with disease activity and treatment with cyclophosphamide in scleroderma interstitial lung disease: findings from the Scleroderma Lung Study. Chest. 2012;142(3):614–621.
-
Hoffmann-Vold AM, Fretheim H, Halse AK, et al. Tracking impact of interstitial lung disease in systemic sclerosis in a complete nationwide cohort. Am J Respir Crit Care Med. 2019;200:1258–1266.
-
Hoffmann-Vold AM, Maher TM, Philpot EE i wsp. The identification and management of interstitial lung disease in systemic sclerosis: evidence-based European consensus statements. The Lancet Rheumatology. 2020b;2:e71–e83.
-
Asano Y, Jinnin M, Kawaguchi Y i wsp. Diagnostic criteria, severity classification and guidelines of systemic sclerosis: Guideline of SSc. J Dermatol. 2018;45, 633–691.
-
Cottin V, Hirani N, Hotchkin D i wsp. Presentation, diagnosis and clinical course of the spectrum of progressive-fibrosing interstitial lung diseases. Eur Respir Rev. 2018;27(150):180076.
-
Chaudhuri N, Spencer L, Greaves M i wsp. A Review of the Multidisciplinary Diagnosis of Interstitial Lung Diseases: A Retrospective Analysis in a Single UK Specialist Centre. J Clin Med. 2016;5(66):1–9.
-
Cottin V, Brown KK. Interstitial lung disease associated with systemic sclerosis (SSc–ILD). Respir Res. 2019a;20(1):13.
-
Wong AW, Ryerson C, Guler S. Progression of fibrosing interstitial lung disease. Respir Res. 2020:29;21(1):32.
-
Brauner M i wsp. Imagerie des pneumopathies infiltrantes diffuses. Press Med. 2010;39:73–84.
-
Maher TM, Molina-Molina M, Russell AM i wsp. Unmet needs in the treatment of idiopathic pulmonary fibrosis-insights from patient chart review in five European countries. BMC Pulm Med. 2017;17(1):124.
-
Molina-Molina M, Aburto M, Acosta O i wsp. Importance of early diagnosis and treatment in idiopathic pulmonary fibrosis. Exp Rev Resp Med. 2018;12(7):537–539.
-
Robalo-Cordeiro C, Campos P, Carvalho L i wsp. Idiopathic pulmonary fibrosis in the era of antifibrotic therapy: Searching for new opportunities grounded in evidence. Rev Port Pneumol. 2017;23(5):287–293.
-
Kolb M, Bondue B, Pesci A i wsp. Acute exacerbations of progressive-fibrosing interstitial lung diseases. Eur Respir Rev. 2018;27(150):pii:180071.
-
Song JW, Hong S-B, Lim C-M i wsp. Acute exacerbation of idiopathic pulmonary fibrosis: incidence, risk factors and outcome. Eur Respir J. 2011;37(2):356–363.
-
Song JW, Lee HK, Lee CK i wsp. Clinical course and outcome of rheumatoid arthritis-related usual interstitial pneumonia. Sarcoidosis Vasc Diffuse Lung Dis. 2013;30(2):103–112.
-
Tomiyama F, Watanabe R, Ishii T i wsp. High Prevalence of Acute Exacerbation of Interstitial Lung Disease in Japanese Patients with Systemic Sclerosis. Tohoku J. Exp. Med. 2016;239, 297–305.
-
Okamoto M, Fujimoto K, Sadohara J i wsp. A retrospective cohort study of outcome in systemic sclerosis-associated interstitial lung disease. Respiratory Investigation. 2016;54, 445–453.
Materiały dla pacjentów po angielsku