Pacjenci z ILD

Tomografia komputerowa wysokiej rozdzielczości (HRCT) jest niezbędna do postawienia trafnego rozpoznania włóknienia płuc w ILD, a także do oceny zmian chorobowych, ich monitorowania, oceny przesiewowej pod kątem powikłań oraz określenia rokowania.3

Wykrycie włóknienia płuc w ILD nie zawsze jest proste

Heterogenny i nieprzewidywalny charakter ILD może powodować, że włóknienie płuc jest trudne do wykrycia, co często prowadzi do opóźnionego rozpoznania.4–7

ATLAS_OBRAZOWANIA_ILD

ATLAS OBRAZOWANIA ILD

Skuteczniej rozpoznawaj włókniejącą ILD. Ten atlas może pomóc w diagnostyce ILD, ułatwiając rozpoznawanie kluczowych wskazówek i typowych cech w obrazach HRCT klatki piersiowej i w badaniu histopatologicznym wycinków z chirurgicznej biopsji płuca.

OBRAZY HRCT POMAGAJĄ W ROZPOZNANIU WŁÓKNIEJĄCEJ ILD

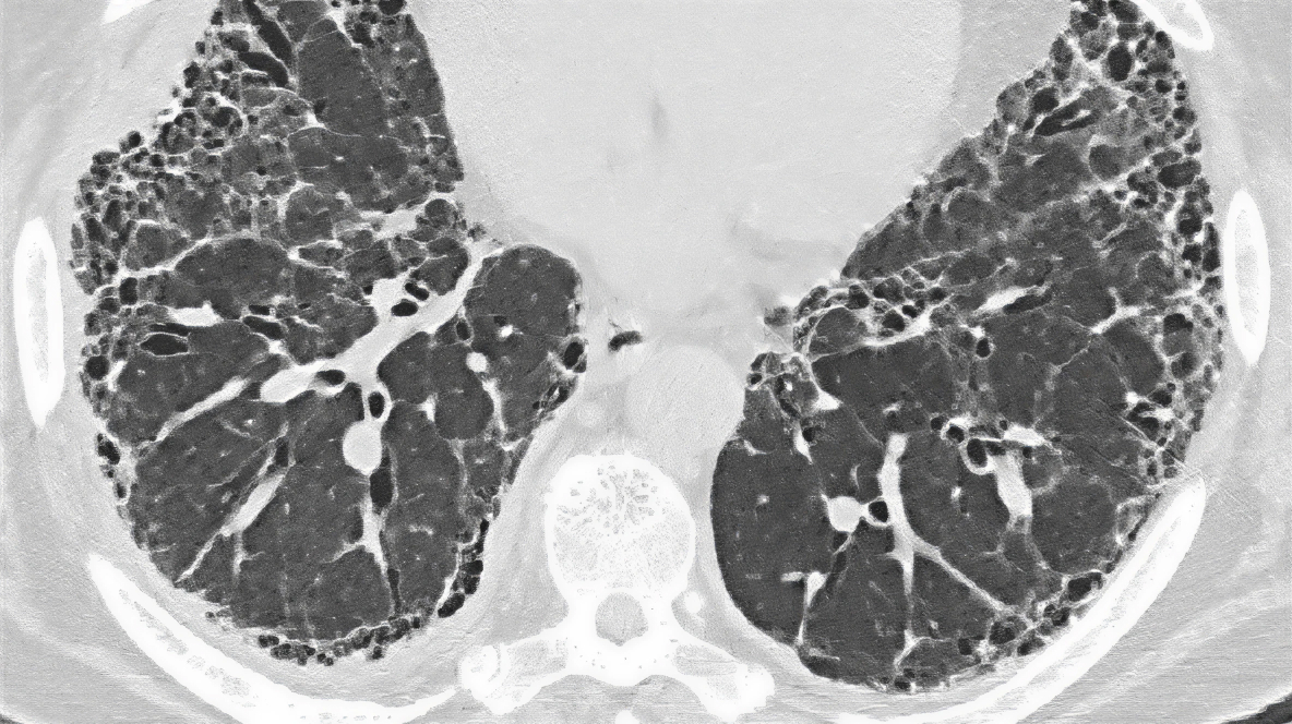
OBRAZ „PLASTRA MIODU”

Cechy

  • Skupiska torbielowatych przestrzeni powietrznych o wyraźnych ścianach, o średnicy 2–10 mm, czasami dochodzącej do 25 mm, zwykle w okolicach podopłucnowych

Cechy związane z obrazem „plastra miodu”

  • Wewnątrzzrazikowe zmiany siateczkowe

  • Trakcyjne rozstrzenia oskrzeli i rozstrzenia oskrzelików

  • Utrata objętości płata

  • Zniekształcenia szczelinowe

Obraz plastra miodu


Podopłucnowe zmiany typu „plastra miodu” tworzące kilka warstw torbieli u 73‑letniego mężczyzny z UIP

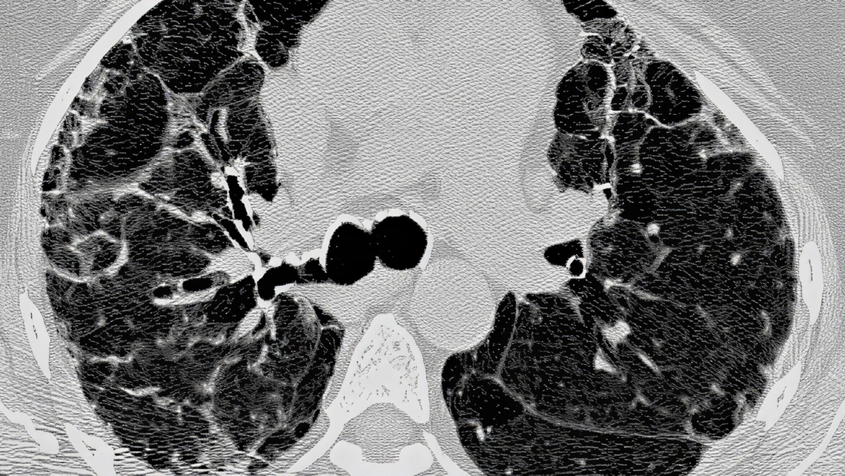
rozstrzenie oskrzeli


72‑letni mężczyzna z UIP. Badanie HRCT wykazuje rozsiane zmiany siateczkowe oraz trakcyjne rozstrzenia oskrzeli i rozstrzenia oskrzelików.

TRAKCYJNE ROZSTRZENIE OSKRZELI / ROZSTRZENIE OSKRZELIKÓW

Cechy

  • Nieprawidłowe i nieregularne rozszerzenie oskrzeli/oskrzelików w wyniku zapalenia dróg oddechowych (czasami odwracalne) lub zwłóknienia płuc

  • W badaniu HRCT widoczne jako zwiększenie średnicy dystalnych dróg oddechowych (brak obwodowego zmniejszania się średnicy, widoczność w podopłucnowych częściach płuca w odległości co najmniej 20 mm od opłucnej)

  • Na obrazie widoczne są jako rurkowate lub torbielowate przestrzenie powietrzne, w zależności od orientacji oskrzeli na przekroju

  • Różnicowanie pomiędzy trakcyjnymi rozstrzeniami oskrzeli a zmianami typu „plastra miodu” jest czasem trudne na przekrojach osiowych. Przydatne są przekroje strzałkowe lub czołowe

Orientacja diagnostyczna

  • Trakcyjne rozstrzenia oskrzeli są związane z oznakami włóknienia

IPF – OBRAZ UIP

IPF - obraz UIP


Wytyczne ATS/ERS/JRS/ALAT zalecają pewne rozpoznanie IPF, jeśli ocena kliniczna pacjenta wskazuje na IPF, a badanie HRCT wykazuje definitywny lub prawdopodobny obraz UIP (zalecana biopsja warunkowa).2

Dlaczego wczesne badania przesiewowe i rozpoznanie IPF w badaniu HRCT są tak ważne?

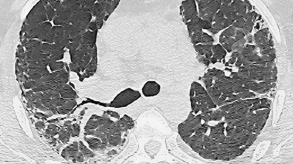
cHP

Example of cHP pattern on HRCT


Podopłucnowe pogrubienie siateczkowe, pułapki powietrzne i trakcyjne rozstrzenia oskrzeli

Znaczenie wpływu cHP na pacjentów

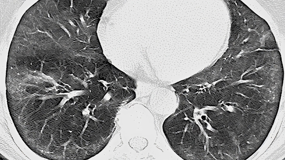
iNSIP – OBRAZ NSIP

iNSIP – OBRAZ NSIP


Zmiany typu „matowego szkła”, oszczędzone okolice podopłucnowe i trakcyjne rozstrzenia oskrzeli

Więcej informacji na temat wpływu iNSIP na życie pacjentów

Dokładna interpretacja HRCT ma kluczowe znaczenie w kontekście pomocy pacjentom z włókniejącą ILD

  1. Chowaniec M, Skoczynska M, Sokolik R, Wiland P. Interstitial lung disease in systemic sclerosis: challenges in early diagnosis and management. Reumatologia. 2018;56(4):249–254.

  2. Raghu G, Remy-Jardin M, Myers JL i wsp; w imieniu ATS/ERS/JRS/ALAT. Diagnosis of Idiopathic Pulmonary Fibrosis. An Official ATS/ERS/JRS/ALAT Clinical Practice Guideline. Am J Respir Crit Care Med. 2018;198(5):e44–e68.

  3. Brauner M i wsp. Imagerie des pneumopathies infiltrantes diffuses. Press Med. 2010;39:73–84.

  4. Wells AU, Brown KK, Flaherty KR i wsp. What’s in a name? That which we call IPF, by any other name would act the same. Eur Respir J. 2018;51(5):1800692.

  5. Wijsenbeek MS, Kreuter M, Olson A i wsp. Progressive fibrosing interstitial lung diseases: current practice in diagnosis and management. Curr Med Res Opin. 2019:1–10.

  6. Gulati M. Diagnostic assessment of patients with interstitial lung disease. Prim Care Respir J. 2011;20:120–127.

  7. Greiffo FR, Eickelberg O, Fernandez IE. Systems medicine advances in interstitial lung disease. Eur Respir Rev. 2017;26:170021.

  8. Chaudhuri N, Spencer L, Greaves M i wsp. A Review of the Multidisciplinary Diagnosis of Interstitial Lung Diseases: A Retrospective Analysis in a Single UK Specialist Centre. J Clin Med. 2016;5(66):1–9.

  9. Cottin V, Hirani N, Hotchkin D i wsp. Presentation, diagnosis and clinical course of the spectrum of progressive-fibrosing interstitial lung diseases. Eur Respir Rev. 2018;27(150):180076.

  10. Cottin V, Brown KK. Interstitial lung disease associated with systemic sclerosis (SSc‑ILD). Respir Res. 2019a;20(1):13.

  11. Wong AW, Ryerson C, Guler S. Progression of fibrosing interstitial lung disease. Respir Res. 2020:29;21(1):32.

  12. Flaherty KR, Brown KK, Wells AU i wsp. Design of the PF-ILD trial: A double-blind, randomised, placebo-controlled phase III trial of nintedanib in patients with progressive fibrosing interstitial lung disease. BMJ Open Resp Res. 2017;4(1):e000212.

  13. Theodore AC, Tseng C-H, Li N, Elashoff RM, Tashkin DP. Correlation of cough with disease activity and treatment with cyclophosphamide in scleroderma interstitial lung disease: findings from the Scleroderma Lung Study. Chest. 2012;142(3):614–621.

  14. Hoffmann-Vold AM, Fretheim H, Halse AK i wsp. Tracking impact of interstitial lung disease in systemic sclerosis in a complete nationwide cohort. Am J Respir Crit Care Med. 2019;200:1258–1266.

  15. Hoffmann-Vold AM, Maher TM, Philpot EE i wsp. The identification and management of interstitial lung disease in systemic sclerosis: evidence-based European consensus statements. The Lancet Rheumatology. 2020b;2:e71–e83.

  16. Asano Y, Jinnin M, Kawaguchi Y i wsp. Diagnostic criteria, severity classification and guidelines of systemic sclerosis: Guideline of SSc. J Dermatol. 2018;45, 633–691.

Materiały dla pacjentów po angielsku